
INDONESIA- Un hombre de 43 años residente en Java, Indonesia, debió ser asistido en un hospital local luego de un insólito “accidente sexual”.
Según informa el tabloide The Sun, el sujeto mantenía relaciones sexuales con una mujer y recurrió a un “implante no inflable” y más bien casero: un cepillo de dientes.
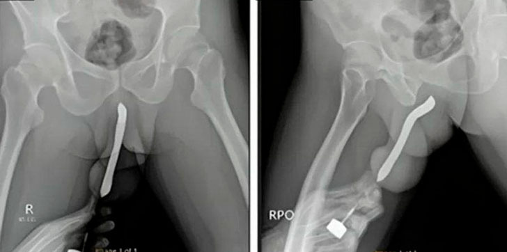
El sujeto contó a los médicos que se había incrustado el objeto para dar mayor firmeza y rigidez a su miembro, y así proporcionar mayor gozo a su compañera. Sin embargo, cuando estaban en plena cópula, con ella a horcajadas sobre él, el cepillo se quebró y produjo una seria y dolorosa lesión al usuario.
Para colmo de males, el sujeto tardó 12 horas en acudir al hospital, lo que complicó su pronóstico. Cuando finalmente se decidió, fue porque el dolor era insoportable y su pene estaba “muy hinchado y curvo”.
Al analizarlo, los médicos del Hospital Académico General Soetomo, en Java Oriental, determinaron que tenía una “deformidad tipo berenjena”, un signo claro de fractura de pene.
Cuando los profesionales indagaron en busca de más detalles sobre su “cirugía casera”, el hombre dijo que se había estado metiendo cepillos en el pene a través de una “pequeña incisión” desde 2017.
La práctica de insertar quirúrgicamente objetos debajo del prepucio, también conocida como abalorios genitales, es más común en ciertas partes del mundo, incluidas partes de Asia.
Los cirujanos sometieron al paciente a una intervención quirúrgica de dos horas, con el fin de retirar el cuerpo extraño y reparar su pene roto.
“El paciente sufrió una lesión en el pene durante la relación sexual en posición de mujer encima la noche anterior”, escribieron los facultativos en un artículo publicado en Journal of Surgery Case Reports.
Los profesionales que hicieron seguimiento al paciente reportaron que un mes más tarde ya no presentaba dolores ni deformaciones, y que mantenía relaciones sexuales con normalidad.